矯正治療について Orthodontic Treatment
大人の矯正治療
永久歯がすべて生えてからの矯正治療のことをいいます。一般的に12歳以降に開始することが多く、年齢の上限はなく、何歳の方でも治療できます。ただし、何かの障害によって永久歯が生えてこないこともあるので、永久歯がすべて揃っていなくても、歯が出てこない、出てくるのが遅いと思ったときもご相談ください。
永久歯がすべて生え揃う頃には、上あごと下あごの成長も終了に近づいている場合が多いです。そのため、永久歯がすべて生え揃った後の矯正治療は、その時の上あごと下あごの位置関係に合わせて歯を移動させてかみ合わせを改善します。ただし、上あごと下あごの位置関係のズレが著しく大きい患者さんの場合、手術によるあごの移動が必要になることもあります。かみ合わせの改善のために手術によるあごの移動が必要な場合、矯正治療費に健康保険が適応されます。
歯の移動には、マルチブラケット装置と呼ばれる装置を使用します。歯の1本1本にブラケットと呼ばれる金属またはプラスチックのボタンをつけ、ワイヤーの弾力やゴムの力を利用して歯を動かします。当クリニックでは、特にご希望がない限り、審美性に優れ、歯を傷つけにくいプラスチックのブラケットを使用しています。また、表側の矯正装置をより目立たなくするため、より歯の色に近いセラミックブラケットや白いワイヤーなどを用いた治療も行っています。

特にご希望がない限り、審美性に優れ、歯を傷つけにくいプラスチックのブラケットを使用して治療します。
セラミックブラケットと白いワイヤー
セラミックブラケットと白いワイヤーを使用し、ワイヤーとブラケットを固定する針金も白いので、より目立ちにくくなります。
目立たない装置による矯正治療
歯並びをキレイにしたいけど装置が目立つのがイヤだ、と矯正をためらっている方も多いのではないでしょうか。そんな方のために、歯の裏側にブラケットやワイヤーを装着する舌側矯正装置と金具を使わない取り外し可能なマウスピース型矯正装置での矯正治療についてご紹介します。
舌側矯正治療
治療の原理は表からの治療とほとんど同じですが、歯の裏側にブラケットやワイヤーを装着するので、人目を気にせず治療できます。営業・接客業・人前に立つ仕事等についている方も、安心して矯正治療にトライできます。歯の裏側の形は表側と違って、指紋と同じように一人ひとり形が異なっています。そのため、舌側矯正装置で矯正治療を行う場合は、患者さん一人ひとりに合ったブラケットをカスタムメイドいたします。
上の歯につけた裏側の装置
表からは見えません
下の歯につけた裏側の装置
マウスピース型矯正装置による矯正治療(インビザライン・薬機法対象外)
マルチブラケット装置を使わずに、取り外しのできるマウスピース型の透明なプレートを使用する矯正方法です。形を少しずつ変化させたマウスピース型の矯正装置(インビザライン・薬機法対象外)を定期的に交換しながら歯を動かします。
インビザライン(薬機法対象外)は透明で薄いプラスチックの素材を使っており、人前では取り外しておくこともできるので、治療していることを他人に気づかれることは少ないでしょう。また、取り外しができるので、お食事やブラッシングもいつも通りでき、マルチブラケット装置と比べて矯正治療中の虫歯のリスクも軽減できます。症例によっては適応できない場合もありますので、まずはご相談ください。






こどもの矯正治療
子どもの矯正治療とは、永久歯がすべて生える前までの矯正治療のことをいいます。この時期はあごも成長期なので、あごの成長を利用して、歯並びに影響する上あごと下あごの大きさのバランス、歯とあごの大きさのバランスなどを整えることができます。これらのバランスを整えておくことによって、永久歯がすべて揃ってからの大人の矯正治療を必要としなくなったり、大人の矯正治療が必要な場合でも歯を抜かずにより短期間で治療できる確率が高くなります。
また、この時期は食べるときの下あごの動かし方、飲み込むときの舌の使い方、姿勢などを学習する時期でもあります。下あごの動かし方、舌の使い方、姿勢などに悪い癖があると、あごの成長や歯並びに悪い影響を与えることがあるので、この時期のトレーニングによって口の周りの悪い癖を除去することも大切です。
この時期の矯正治療では、取り外しのできるシンプルな矯正装置や裏側につける矯正装置を使うことが多いので、お食事や見た目などの心配はほとんどありません。

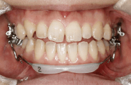
- 機能的矯正装置(FKO)
- 主に上顎前突(出っ歯)の患者さまに使用。下あごの前方への成長を促す装置です。取り外し式で、寝るときだけ口の中に装着します。

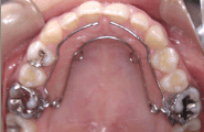
- リンガルアーチ
- 主に反対咬合(受け口)の患者さまに使用。針金の弾性を使って治療が必要な歯だけを動かす装置です。裏側につける装置なので、見た目の心配はありません。

- 床拡大装置
- 主に歯の大きさに対して上あごや下あごが小さい患者さまに使用。ネジの力によって歯列を拡大する装置です。取り外し式で、お食事やブラッシングなどはいつも通りです。

- 固定式拡大装置
- 歯の裏側の針金で、歯を動かしたり、歯列を拡大したりする装置です。裏側につける装置なので、見た目の心配はありません。

- GMD
- 上の奥歯を後ろに移動して、前の歯をきれいに並べるための隙間を獲得する装置。12歳臼歯(前から7番目の歯)が生える前に使用すると効果的です。

- リップバンパー
- 唇や頬が歯を押す力を排除して歯列を拡大したり、その力を利用して奥歯を後ろに動かしたりする装置。取り外し可能で、装置を奥歯のチューブに差し込んで使用。

- マウスピース型矯正装置(インビザライン・ファースト/薬機法対象外)
- 子供のマウスピース型矯正装置では「顎の大きさを広げる」ことと「歯を動かしてきれいに並べる」ことを同時に行なえるので、効率よく治療できます。ただし、上あごと下あごの大きさのバランスなど骨格的な問題が大きいケースでは適応できない場合もあります。まずはご相談ください。
- マウスピース型矯正装置について
矯正歯科治療に伴う一般的なリスクや
副作用について
- 矯正装置による不快感、痛み等があります。数日間~1週間程度で慣れることが多いです。
- 歯の動き方には、個人差があります。そのため予想された治療期間が延長する可能性もあります。
- 矯正治療には、装置の使用状況、顎間ゴムの使用状況、定期的な通院など患者さんの協力が非常に重要で、それらが治療結果や治療期間に影響します。
- 矯正装置の種類によっては、歯が磨きにくくなります。むし歯や歯周病のリスクが高まりますので丁寧に磨いたり、定期的なメンテナンスを受けたりすることが重要です。また、歯が動くと隠れていたむし歯が見えるようになることもあります。当クリニックでも診療毎にお口の中のお掃除やむし歯のチェックを行ないます。
- 歯を動かすことによって歯根が吸収し、短くなることがあります。また、歯ぐきがやせて下がることもあります。
- ごくまれに歯が骨と癒着していて、その歯を動かせないことがあります。
- ごくまれに歯を動かすことで歯の神経が障害を受け、壊死することがあります。
- 治療途中に金属等のアレルギー症状が出ることがあります。
- 治療中に「顎関節で音が鳴る、あごが痛い、口が開けにくい」などの顎関節症状が出ることもあります。
- 様々な問題により、当初予定した治療計画を変更する可能性があります。
- 歯の形を修正したり、咬み合わせの微調整を行なったりする可能性があります。
- 矯正装置を誤飲する可能性があります。
- 装置を外す時に、エナメル質に微小な亀裂が入る可能性や、かぶせ物(補綴物)の一部を破損する可能性があります。
- 装置が外れた後、保定装置を指示通り使用しないと後戻りを生じる可能性が高くなります。
- 装置が外れた後、現在の咬み合わせに合った状態のかぶせ物(補綴物)やむし歯の治療(修復物)などをやり直す可能性があります。
- かみ合わせや歯並びは、あごの成長発育によって変化する可能性があります。
- 治療後に親知らずが生えて、凸凹を生じる可能性があります。加齢や歯周病等によって歯を支えている骨がやせると、かみ合わせや歯並びが変化することもあり、ご希望によって再治療等を必要とすることもあります。
- 矯正歯科治療は、一度始めると元の状態に戻すことは難しくなります。
- 自立支援・顎口腔機能診断準拠施設 飯野祥一朗 日本歯科専門医機構認定 矯正歯科専門医 イーノ矯正歯科クリニック 矯正・一般・歯科口腔外科・小児
- 9:00~13:00/15:00~19:00(※第1、第2日曜日は休診日)
- 休診日/火曜日午後・木曜日・第1、第2日曜日・祝日※都合により、診療日を変更する場合がございます。お電話にてご確認ください。
- 099-255-8148
- info@iino-kyousei.kagoshima.jp
- 〒890-0072 鹿児島県鹿児島市新栄町1-1 2F
○JR鹿児島本線「南鹿児島駅」より徒歩7分
○市電線「南鹿児島駅」より徒歩7分
○市電線「二軒茶屋駅」より徒歩5分
○「南小学校前バス停」より徒歩1分 - 駐車場有り

鹿児島県鹿児島市新栄町1-1 2F
- 診療科目
- 矯正・一般・歯科口腔外科・小児
- 診療時間
- 9:00~13:00/15:00~19:00 ※第1、第2日曜日は休診日
- 休診日
- 火曜午後・木曜・第1、第2日曜日・祝日
※都合により、診療日を変更する場合がございます。
お電話にてご確認ください。 - 駐車場
- あり ※詳しい場所はアクセスのページをご覧ください
- ご予約・お問い合わせ
- 099-255-8148
- info@iino-kyousei.kagoshima.jp








